about-3 back-contact back-deep eitaa کانال روبیکاخبرگزاری سایبربان
مطالب پربازدید
آماده‌سازی
1404/09/11 - 08:18- تروریسم سایبری

آماده‌سازی رژیم صهیونیستی در حوزه فناوری برای جنگ احتمالی بعدی با ایران

رژیم صهیونیستی در حال آماده‌سازی طیف جدیدی از سلاح‌ها و فناوری‌های جدید برای جنگ بعدی با ایران است.

هشدار
1404/09/24 - 10:47- تروریسم سایبری

هشدار رژیم صهیونیستی درمورد حملات سایبری نگران‌کننده ایران

مدیرکل اداره ملی سایبری رژیم صهیونیستی درمورد حملات ایران و احتمال جنگ سایبری هولناک هشدار داد.

هشدار
1404/10/01 - 10:44- جنگ سایبری

هشدار روزنامه اسرائیلی درباره جنگ سایبری با ایران

روزنامه اسرائیلی معاریو پس از یک سری حملات هکری علیه شخصیت‌های ارشد سیاسی و نهادهای دولتی، درباره جنگ سایبری با ایران و تشدید نفوذها هشدار داد.

رئیس پژوهشکده فضای مجازی دانشگاه شهید بهشتی اقدامات مبتنی بر هوش مصنوعی محققان کشور را در خصوص مقابله با ویروس کرونا تشریح کرد.

به گزارش کارگروه فناوری اطلاعات سایبربان ؛ دکتر علیرضا طالب پور  با اشاره به اقدامات مبتنی بر هوش مصنوعی مقابله با ویروس کرونا به سرپرستی کمیته پژوهشی کووید بیمارستان سینا دانشگاه علوم پزشکی تهران و با مشارکت پژوهشکده فضای مجازی دانشگاه شهید بهشتی گفت: با توجه به اهمیت موضوع تشخیص زودهنگام و دقیق بیماری کرونا که اساس موفقیت کشورهای پیشرو در مهار این ویروس بوده است، از ابتدای شیوع این ویروس در ایران، دو راهبرد اصلی تسهیل و تسریع در تشخیص و پیش‌بینی ابتلاء به کرونا و افزایش دقت تشخیص با بهره‌گیری از مزیت‌های هوش مصنوعی در این کمیته پژوهشی پیگیری شده است.

وی ادامه داد: در این راستا با تکیه‌بر سابقه موفق پژوهشکده فضای مجازی دانشگاه شهید بهشتی در حوزه مشابه و توانمندی موجود در حوزه پردازش تصاویر، پردازش صوت و یادگیری ماشینی و دریافت نظرات تخصصی و اطلاعات این بیماری از پژوهشگران بیمارستان سینا (دانشگاه علوم پcشکی تهران) پروژه‌های زیر تعریف‌شده و با همکاری همه‌جانبه آن بیمارستان در حال انجام است.

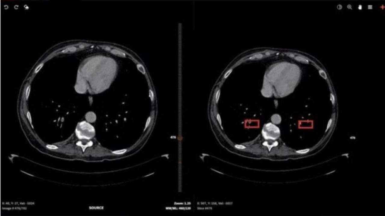
رئیس پژوهشکده فضای مجازی دانشگاه شهید بهشتی خاطرنشان کرد: پیش‌بینی و تشخیص با تصاویر CT قفسه سینه از قابلیت پیشگویی و حساسیت بالایی در تشخیص کرونا برخوردارند. بنابراین برای تشخیص زودهنگام کرونا بسیار مناسب هستند. هرچند درروش سنتی، تشخیص با بررسی حجم بالایی از اطلاعات تصویری توسط عامل انسانی انجام می‌گیرد که ازنظر سرعت و یکنواختی تشخیص بهینه نیست.

وی ادامه داد: همچنین برخی دیگر از بیماری‌های تنفسی علائمی مشابه با کرونا در این تصاویر دارند که باعث می‌شود عامل انسانی نتواند دقت زیادی در تفکیک بیماری کرونا از بیماری‌های مذکور داشته باشد. الگوریتم‌های هوش مصنوعی قادرند ضمن افزایش سرعت و یکنواختی تشخیص، دقت تفکیک کرونا از سایر بیماری‌های تنفسی را افزایش دهند.

طالب پور ادامه داد: به همین منظور بیش از ۱۰۰۰ تصویر CT از بیمارستان سینا دریافت و جدیدترین روش‌های هوش مصنوعی روی آن‌ها اعمال شد. به‌زودی با مقایسه نتایج روش‌های مختلف هوشمند، بهترین راهکار برای استفاده در پیش‌بینی و تشخیص زودهنگام کرونا در اختیار متخصصان قرار خواهد گرفت.

وی خاطرنشان کرد: پیش‌بینی و تشخیص با صوت سرفه برای تشخیص برخی بیماری‌ها از طریق تحلیل سیگنال صوت سرفه قبلاً به‌صورت تحقیقاتی انجام‌شده است. مزیت این روش حداقل بودن امکانات موردنیاز جهت تشخیص است و فرد می‌تواند بدون مراجعه به مراکز درمانی، توسط این روش غربالگری اولیه شده و فقط در صورت مثبت بودن نتیجه این روش به مراحل درمانی مراجعه و تست‌های تشخیصی دیگر را انجام دهد.

رئیس پژوهشکده فضای مجازی دانشگاه شهید بهشتی افزود: این موضوع از سه جنبه تشخیص افراد مشکوک به کرونا و رهگیری فعالانه گسترش ویروس، کاهش تردد و مراجعه افراد به مراکز درمانی و درنتیجه کاهش خطر سرایت و آزاد ماندن ظرفیت‌های نظام سلامت برای افراد با مشکلات جدی حائز اهمیت است.

وی ادامه داد: در این رابطه پس از انجام اقدامات پژوهشی و پیش‌بینی راهکارهایی برای افزایش دقت این روش، جمع‌آوری صوت سرفه ۲۰۰ بیمار در بیمارستان سینا در حال انجام است. تشخیص و پایش وضعیت بیمار با سیگنال اکوی قلب (ECG) در تحقیقات جدید نشان داده ویروس کرونا غیر از درگیر کردن ریه‌ها، در موارد قابل‌توجهی تأثیرات مستقیم و غیرمستقیم روی عملکرد قلب دارد.

طالب پور افزود: بنابراین و با توجه به سابقه قبلی این مجموعه در پیش‌بینی دیابت از روی ECG، تشخیص ابتلاء به کرونا و همین‌طور پایش پایداری وضعیت بیمار از روی این سیگنال موردتوجه قرار گرفت و ECG و اطلاعات مربوط به چند ده بیمار در این رابطه جمع‌آوری شد. تا جایی که اطلاع داریم این‌یک ابتکار جدید است و نمونه قبلی ندارد.

وی ادامه داد: از مزایای این روش سهولت دسترسی به امکانات موردنیاز جهت تشخیص و همچنین ایجاد شناخت جدید از علائم و خود بیماری است که علاوه بر استفاده برای مبتلایان فعلی به آینده مبارزه با این ویروس کمک خواهد کرد.

وی تصریح کرد: پایش و پیش‌بینی وضعیت بیمار با داده‌های کلینیکی بعد از مرحله تشخیص، پایش و کنترل وضعیت بیمار بسیار تعیین‌کننده است. بنابراین تحلیل داده‌های کلینیکال شامل بیش از پنجاه ویژگی جهت پایش و پیش‌بینی وضعیت بیمار مبتلابه کرونا آغاز شد. درنتیجه این پروژه، متخصصین خواهند توانست با توجه به پیش‌بینی این سامانه، از احتمال وخامت یا بهبود شرایط بیمار در آینده مطلع شده و تصمیمات دقیق‌تری جهت تخصیص بهینه امکانات ICU و تجویز هر اقدام متناسب اتخاذ نمایند.

رئیس پژوهشکده فضای مجازی دانشگاه شهید بهشتی خاطرنشان کرد: با توجه به پیش‌بینی تکمیل اطلاعات حدود ده هزار بیمار طی ماه آتی توسط کمیته پژوهشی کو, ید بیمارستان سینا و همچنین احتمال اضافه شدن اطلاعات بیمارستان‌های دیگر طرح کووید نتایج حاصل از هر چهار پروژه فوق که حاصل همکاری دانشگاه شهید بهشتی و بیمارستان سینا (دانشگاه علوم پزشکی تهران) است، جهت مشارکت در حفاظت از سلامت جامعه به‌صورت رایگان در اختیار مراکز درمانی داخلی و خارجی قرار خواهد گرفت.

منبع:

تازه ترین ها
استفاده
1404/11/20 - 15:09- تروریسم سایبری

استفاده از ابزارهای جاسوسی رژیم صهیونیستی در سازمان‌های اطلاعاتی غرب

استارت‌آپ اسرائیلی رادیانت ابزارهای جاسوسی بدون کلیک را برای سازمان‌های اطلاعاتی غربی می‌سازد.

اجرای
1404/11/20 - 14:23- اقیانوسیه

اجرای پوشش سایبری برای کسب و کارهای استرالیایی

شرکت «Cowbell» و زوریخ، پوشش سایبری برای کسب و کارهای استرالیایی راه‌اندازی کردند.

تأمین
1404/11/20 - 14:22- سایرفناوری ها

تأمین انرژی خورشیدی مراکز داده گوگل توسط توتال انرژی

شرکت توتال انرژی، انرژی خورشیدی موردنیاز برای مراکز داده گوگل در تگزاس را تأمین خواهد کرد.